رئيس الدولة والمستشار الألماني يؤكدان أهمية تعزيز أسباب الاستقرار في المنطقة والعالم
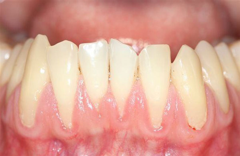
هل تنمو اللثة مرة أخرى بعد انحسارها؟
يحدث تراجع اللثة أو انحسارها لعدة أسباب، منها الالتهابات، وتنظيف الأسنان بفرشاة غير مناسبة، وصرير الأسنان، والشيخوخة، والتدخين، والإصابات. ويؤدي انحسارها إلى كشف الجذور في الأسفل.
كما تسبب عوامل أخرى انحسار اللثة، مثل التغيرات الهرمونية التي تصاحب الحمل، ومرض السكري، والحشوات التالفة، والجسور التي لم تعد مناسبة، والاستخدام طويل الأمد لأدوية تسبب الجفاف.
وإجابة على سؤال: هل يمكن أن تنمو اللثة مرة أخرى؟ لا يمكن أن تنمو اللثة بشكل طبيعي. ومع ذلك، يمكن الوقاية من مزيد من تراجع اللثة، ويمكن للجراحة استعادة بعض الأنسجة.ويعتمد علاج انحسار اللثة على السبب الكامن وراء ذلك، والذي قد يتطلب أو لا يتطلب جراحة.
وتعتبر العناية الجيدة بالتنظيف بالفرشاة، وحضور مواعيد تنظيف الأسنان لدى الطبيب بانتظام، من العوامل التي توقف انحسار اللثة.
ويمكنك استشارة الطبيب بخصوص زاوية التنظيف بالفرشاة المناسبة، وأيضاً إمكانية استخدام الواقي المناسب للأسنان أثناء النوم لمنع الضغط عليها.