صحة و تغذية

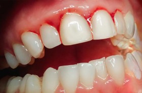
فوائد وأضرار خل التفاح

يزيد خل التفاح عدد البكتيريا المفيدة في الجهاز الهضمي، ولكن تناوله بطريقة خاطئة يمكن أن يلحق الضرر بمينا الأسنان.وتشير الدكتورة ليندسي والفورد خبيرة الغذية في مركز السرطان بجامعة تكساس، إلى أن هناك ... إقرأ المزيد

أسباب وأعراض الغلوكوما

تشير الدكتورة زارينا كوراتشينوفا أخصائية طب العيون، إلى أن الغلوكوما "الزرق" مرض مزمن يتميز بارتفاع الضغط داخل العين وتطور الاعتلال العصبي البصري وضعف البصر.وتقول: "يكمن الخطر الرئيسي للغلوكوما في أن الشخص لا ... إقرأ المزيد

لماذا عمر النساء أطول من عمر الرجال؟

تشير الدكتور ماريا دوبينسكايا أخصائية أمرض القلب إلى أن النساء تعيش عمرا أطول من الرجال، لأن البيولوجيا والعادات والمواقف الصحية تلعب دورا رئيسيا في ذلك.فما هي العوامل التي تحدد الفرق في متوسط ... إقرأ المزيد

4 أشياء يجب القيام بها عند الاستيقاظ من النوم صباحا لفقدان الوزن

إذا كنت ترغب في إنقاص الوزن واتباع نمط حياة صحي، فمن المهم أن تبدأ يومك بروتين صباحي مدروس. فالقرارات التي تتخذها في الساعات الأولى من اليوم تؤثر بشكل كبير على مستويات الطاقة ... إقرأ المزيد

باحثون: نتائج إيجابية لأساليب علاجية مختلفة لبعض أنواع السرطان

أفادت دراستان جديدتان بأن المصابين ببعض أنواع السرطان قد تتحسن حالتهم بعد تلقيهم العلاج الإشعاعي لفترة أقصر، أو بعد عمليات جراحية أقل خطورة، بنفس قدر تحسنهم بالعلاجات المعتادة.وقال باحثون، وفق دورية "جاما ... إقرأ المزيد

متى تشير المرارة في الفم إلى الإصابة بالجيارديا؟

يمكن أن يشير الشعور بالمرارة في الفم والانتفاخ وعدم الراحة وألم في مناطق مختلفة من البطن والغثيان والحرقة واضطراب البراز إلى الإصابة بداء الجيارديا.ويشير الدكتور ميخائيل ليبيديف الخبير في مركز بحوث الأوبئة، ... إقرأ المزيد

فوائد قهوة الشعير مثالية للجهاز الهضمي خصوصاً لغناها بالألياف

هل خطر ببالكِ يوماً وجود بديل لقهوة الصباح التي تعطيكِ النشاط والطاقة ولكن من دون الكافيين؟ إذا كنتِ تريدين تجربة شيء جديد وصحي يُنصح بقهوة الشعير، خاصة أن فوائدها تدعم الصحة العامة، ... إقرأ المزيد

الأفوكادو 

تعد فاكهة الأفوكادو من هبات الطبيعة إلى صحتك وجمالك، فهي غنية بالكثير من الفيتامينات إلى جانب مضادات الأكسدة، كما تساعد في الحماية من الإصابة بأمراض القلب والسرطان، تحارب العطش وهي مفيدة جدا ... إقرأ المزيد